
4.8 / 5.0 Google értékelés– 170+
TriDent Budapest Esztétikai és Családi Fogászat, Implantológiai Központ
Egyetlen konzultáción kiderül, hogy a rögzített vagy a világelső Invisalign® sín lenne az ideális választás számodra. Felnőttként sem késő – és lehet fájdalommentes, láthatatlan és gyorsabb, mint gondolnád. Sokan úgy emlegetik a rendelőnket, hogy a "hírességek fogászata". 100+ előtte-utána eredmény. Az ország egyik legjobban értékelt rendelőjében (98% ajánl minket).
98% páciens ajánlással. Az országban az egyik legjobb értékeléssel.
Ne aggódj, van megoldás!
Limitált lehetőség 2026. FEBRUÁR 28-ig.
Összérték: 34.000 Ft → Most csak 12.000 Ft

Lágy erejű, foghúzás nélküli kíméletes fogszabályozás KONZULTÁCIÓ Dr. Peák Anettel.
fogorvos, fogszabályozó szakorvos
lágy erejű fogszabályozás specialista és Invisalign láthatatlan fogszabályozás specialista (amerikai certifikációval)

A vizsgálat során feltárjuk az esetleges rejtett problémákat is – így megelőzhetők a komolyabb beavatkozások.

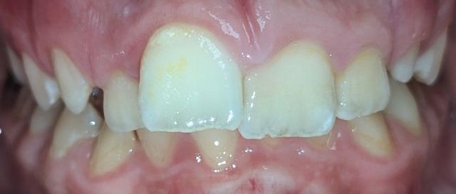
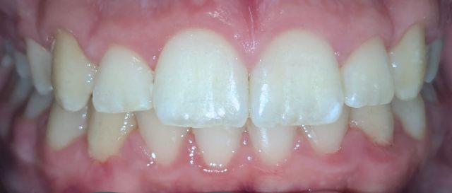
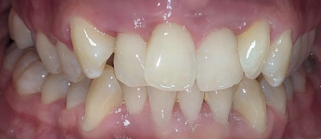
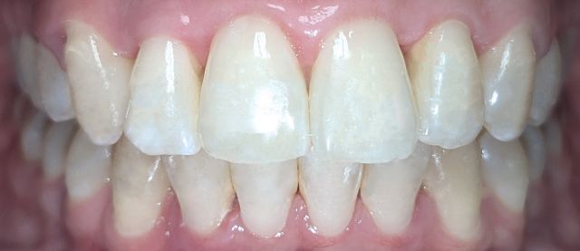
Lássa Ön is a különbséget – élőben mutatjuk meg, milyen változás történhetne.

Személyes beszélgetés során kiderítjük, hogy melyik a legjobb fogszabályozás megoldás számodra. Rögzített vagy Invisalign.

A csábító mosoly sokszor számos tekintetet vonz maga után...

Zsedényi Adrienn, Énekesnő

Parodista, író
Minél tovább halogatod, annál később kezdődhet el a változás. És annál tovább élsz egy mosollyal, amit titokban takargatsz.
Ma már felnőttként is foghúzás nélkül, láthatatlan eszközökkel lehet szép, szabályos mosolyod – kevesebb kellemetlenséggel, gyorsabban.
Egyetlen konzultáción kiderül, hogy mi a legjobb megoldás számodra. Nincs kötelezettség, hogy bele kell vágnod a fogszabályozásba.
A torlódott vagy rendezetlen fogak nem csak esztétikai kérdés: hosszú távon rágási problémákhoz, kopáshoz, ínyvisszahúzódáshoz is vezethetnek.
A szabályos mosoly nem csak esztétika. Ez magabiztosság, felszabadultság, és az érzés, hogy végre tetszik, amit a tükörben látsz.
Az egyik legjobban értékelt (98 % ajánl minket), megbízható komprehenzív fogorvosi rendelő a 30 éves TriDent Budapest, ahol specialistáinkkal egy helyen együttműködve meg tudjuk oldani az egyszerűtől a bonyolult, komplex fogászati esetekig.




A LEGKORSZERŰBB KEZELÉSEK, SPECIALISTÁKTÓL
Szakterületeink az általános fogászaton túl:
fémmentes tömések, betétek, héjak, koronák, hidak, professzionális fogfehérítés
4-600x kisebb erőkkel, foghúzás nélkül, felnőtt korban is átlagosan 1,5 év alatt széles, szabályos mosolyt alakítunk ki Damon technikával
saját 3D CBCT vizsgálattal, digitális tervezéssel, 98% feletti sikeraránnyal végezzük a műgyökér beültetést.
amivel sokkal több fog és jóval magasabb sikeraránnyal megmenthető, mint a hagyományos gyökérkezeléssel.
a fogágybetegségek diagnosztizálása, kezelése, helyreálltó műtétek, fenntartó parodontológiai kezelések a fogak hosszútávú megtartásáért
éber szedációban és akár altatásban is. Bölcsességfog eltávolítás, implantátum beültetés
akár érzéstelenítésben.
Nagyításban végezzük a kezeléseket, mindent megmutatva előtte utána képekkel szájkamerával.
Elérhető nálunk a világ egyik legmodernebb láthatatlan fogszabályozó rendszere is – az Invisalign®
További szolgáltatásaink megtalálhatók a trident.hu oldalon
Valódi értékelések. A TriDent szupersztároktól.






✅ Láthatatlan, esztétikus megoldás
✅ Kivehető és kényelmes viselet
✅ Digitálisan tervezett, precíz sínrendszer
✅ Foghúzás nélküli kezelés is lehetséges
✅ Gyors megszokás, minimális kellemetlenség

Fontos számunkra, hogy kezeléseinkkel hosszútávon is elégedett legyen, ezért ha Önnek bármilyen jellegű gondja van az általunk készített fogművekkel, bátran keressen fel, mi mindent meg fogunk tenni azért, hogy megoldást találjunk a problémájára.
1 év
2 év
1 év
10 év
6 hó

Előtte

Utána

Előtte

Utána
12.000 Ft
Invisalign:
express 1 állcsont
330.000 Ft-tól
450.000 Ft-tól
640.000 Ft
790.000 Ft
1.100.000 Ft
950.000 Ft
1.350.000 Ft
1.380.000 Ft
Ez azzal jár, hogy a tömés és az üreg fala elválik egymástól, az így keletkezett résen bekerülő pici ételmaradékok és baktériumok elindítják a tömés alatt a szuvasodást.
Ha időben kicseréljük (amikor a régi tömés még nincs alászuvasodva) a tudottan régi (átlag 7 éves) tömést, akkor a fogállomány fogyása nélkül készíthetünk újat.
A régi tömés eltávolításakor a fúróval csak a tömés anyagát forgácsoljuk és nem csökken a saját fogállomány.
Így elvben bármennyi tömést készíthetünk egy fogba, „az nem fogy el”, a szuvasodás nem közelíti meg a fogbélüreget, és nem veszélyezteti a fogat.
Kérlek kattints az időpont kérése gombra vagy hívj minket ezen a számon: +36 1 230 8067
Igen. Ingyenes a parkolás a rendelőnknél.
Megközelítés
Ajánlott útvonal:
Budáról: az új Megyeri hídon átérve Pestre a „Káposztásmegyer” lehajtónál lekanyarodni, majd a Külső Szilágyi úton kb. 1,5 km után a SPAR boltnál jobbra a Járműtelep utcán végig a Nádasdy Kálmán utcáig, ott jobbra a 2. lépcsőház
A belvárosból:
1. Váci út, Megyeri út, Óceánárok u., Hajló u., Nádasdy Kálmán u. 17. 2. Lehel út, Béke út, Szent István út, Görgey Artúr u., Leiningen u., Sporttelep u., Hajló u., Nádasdy Kálmán u. 17.
A Ferihegyi Repülőtérről: az új M0 gyűrűn kb. 25 perc autózásra, a „Káposztásmegyer” lehajtónál lekanyarodni, majd a Külső Szilágyi úton kb. 1,5 km után a SPAR boltnál jobbra a Járműtelep utcán végig a Nádasdy Kálmán utcáig, ott jobbra a 2. lépcsőház
Parkolás: ingyenes
Egészségpénztárak
A TriDent Esztétikai és Családi Fogászat számos magán egészségpénztár szerződött partnere és az évek során kialakult jó kapcsolat által a tagok a kezelések költségét egészségpénztáruktól visszakapják. Az egészségpénztári finanszírozás menete rendelőnkben: a kezelés kifizetése után számlát bocsátunk ki, melyre felvezetjük a pénztár nevét, az Ön nevét és egészségpénztári azonosítóját, mely számlát miután Ön beküldi a pénztárának, napokon, heteken belül a pénztár kifizeti Önnek a kezelés összegét. Jelenleg rendelőnk a következő pénztáraknak szerződött szolgáltató partnere:
Allianz Hungária Egészség- és Önsegélyező Pénztár
DANUBIUS Gyógyüdülők Országos Egészség- és Önsegélyező Pénztára
Dimenzió Önkéntes Kölcsönös Egészségpénztár
Generali Önkéntes Kölcsönös Egészségpénztár
Izys Önsegélyező Pénztár
MKB-Pannónia Egészség- és Önsegélyező Pénztár
OTP Országos Egészségpénztár
Patika Önkéntes Kölcsönös Egészségpénztár
Prémium Egészségpénztár
TEMPO Országos Önkéntes Kiegészítő Egészségpénztár
Vasutas Önkéntes Kölcsönös Kiegészítő Egészségpénztár
Vitamin Egészségpénztár
Amennyiben az Ön egészségpénztárát nem találja meg a fenti listában, nyitottak vagyunk javaslataira.
A fenti garancia nem érvényesíthető
- az szájhigiéne nem megfelelő szintje (elhanyagolása) a javasolt és rendszeres rendelői professzionális szájhigiénés tanácsok be nem tartása
- a nem rendeltetésszerű használatból eredő sérülések (balesetek, egyéb külső fizikai behatás, leejtés, stb.) miatt bekövetkezett fogmű és saját fog törés, sérülés esetén
- az általunk javasolt kezelési tervtől saját felelősségre való eltérés esetén
a rendelőnkkel szerződésben nem álló fogorvos, fogtechnikus, vagy egyéb személy által a kezelésbe való beavatkozás vagy az elkészült fogművön történt javítási kísérlet esetén
- az íny, fogágy és csontbetegségek, életkori vagy más okból bekövetkező leépülése esetén
- implantátum kilökődés esetén
- a következő okokból bekövetkező általános egészségromlás esetén: epilepszia, cukorbetegség, csontritkulás, kemoterápia vagy sugárterápia, alultápláltság, drog vagy alkoholfüggőség, mérgezés stb.
- a garancia nem terjed ki az elkészített tömés vagy átadott korona/híd/inlay után esetlegesen szükségessé váló gyökérkezelésre, valamint a fogpótlás pácienssel előre egyeztetett és jóváhagyott színére és formájára a beragasztás illetve átadás után.
Az utazás és a szállás esetleges költségeire nem terjed ki a garancia.
© 2026 All rights reserved.
Rendelőnk címe:
1048 Budapest, Nádasdy Kálmán utca 17.
+36 1 230-8067
+36 20 945-8797
Nyitvatartás:
hétfő 9:00–18:00
kedd 14:00–19:00
szerda 10:00–16:00
csütörtök 14:00–19:00
péntek 10:00–16:00
szombat - Zárva
vasárnap - Zárva
Az oldalon található fényképek és illusztrációk Dr. Tóth György és Dr. Peák Anett eredeti munkái és fényképei, melyek szerzői jogi védelem alá esnek. Kizárólag a szerző előzetes írásbeli engedélyével használhatóak.
Jogi nyilatkozat:
Ez a weboldal tájékoztató jellegű, kizárólag információs célokat szolgál. Nem helyettesít orvosi vizsgálatot és kezelést, nem alkalmas diagnózis és kezelési terv illetve prognózis felállítására.
Ha kérdése van egészségi állapotával, fogaival kapcsolatban, kérjük, forduljon diagnózis és kezelés céljából fogorvosainkhoz!
Az oldalon közzétett anyagot igyekeztünk teljessé tenni, összhangban a publikáláskor érvényes szakmai irányelvekkel, az esetlegesen előforduló emberi és technikai hibákért, tévedésekért a TriDent nem vállal felelősséget.
Általános Szerződési Feltételek
A landing oldal készítette: 2100Labs
